EL BLANQUEADOR MAS EFECTIVO QUE HACE MARAVILLAS...
ANTES
Se colocó OPALDAM, es una barrera gingival que evita que el peróxido de hidrógeno al 40% penetre en la encía
Colocación del peróxido de hidrógeno al 40%
Colocación del peróxido de hidrógeno al 15% para mantenimiento del blanqueamiento
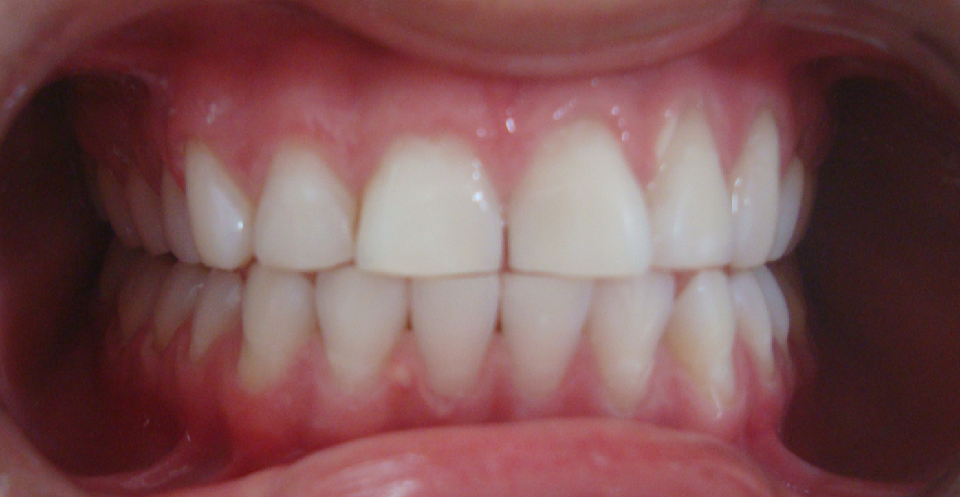
DESPUÉS
Vista frontal
| Vista lateral derecha, estamos a la espera que el paciente vuelva para el recambio de su resina pieza#11 cara distal |
Vista lateral izquierda
ANTES
DESPUÉS
PRESENTAR UNA DENTADURA IMPECABLE ES UNA BUENA CARTA DE PRESENTACIÓN!


No hay comentarios.:
Publicar un comentario